Dental Smile Gallery

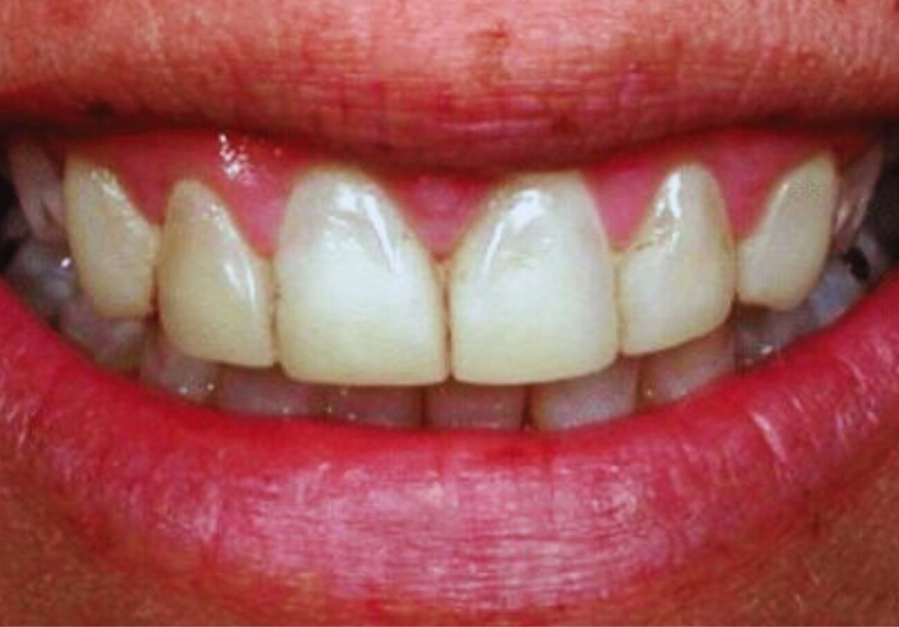
before cosmetic dentistry in Alpharetta, GA

Before

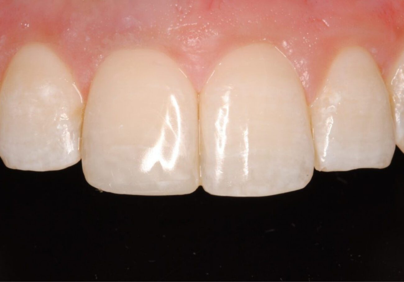
after cosmetic dentistry in Alpharetta, GA

After

[1] Bonding front two teeth

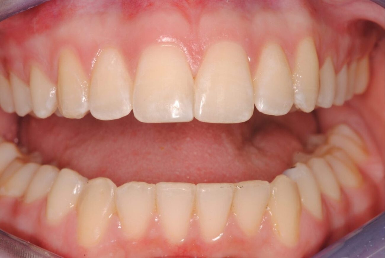
before cosmetic dentistry in Alpharetta, GA

Before

after cosmetic dentistry in Alpharetta, GA

After

[2] Invisalign & Porcelain Crowns

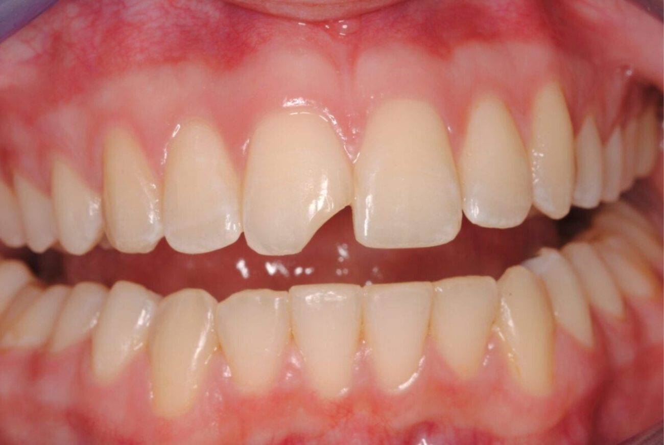
before cosmetic dentistry in Alpharetta, GA

Before

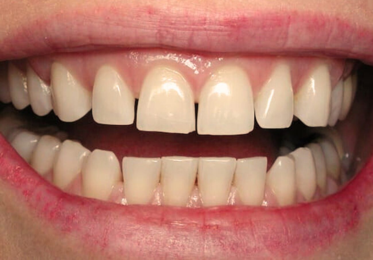
after cosmetic dentistry in Alpharetta, GA

After

[3] Bonding on the front tooth.

before cosmetic dentistry in Alpharetta, GA

Before

after cosmetic dentistry in Alpharetta, GA

After

[4] Cosmetic gum lift, 4 porcelain veneers and bonding

before cosmetic dentistry in Alpharetta, GA

Before

after cosmetic dentistry in Alpharetta, GA

After

[5] Bonding 6 front teeth

before cosmetic dentistry in Alpharetta, GA

Before

after cosmetic dentistry in Alpharetta, GA

After

[6] Invisalign and porcelain veneers

before cosmetic dentistry in Alpharetta, GA

Before

after cosmetic dentistry in Alpharetta, GA

After

[7] Implants on front two teeth, porcelain veneers and dental crowns

before cosmetic dentistry in Alpharetta, GA

Before

after cosmetic dentistry in Alpharetta, GA

After

[8] Invisalign & Porcelain Veneers

before cosmetic dentistry in Alpharetta, GA

Before

after cosmetic dentistry in Alpharetta, GA

After

[9] Porcelain veneers and crowns

before cosmetic dentistry in Alpharetta, GA

Before

after cosmetic dentistry in Alpharetta, GA

After

[10] Porcelain veneers 6 front teeth

before cosmetic dentistry in Alpharetta, GA

Before

after cosmetic dentistry in Alpharetta, GA

After

[11] Cosmetic gum lift and porcelain veneers

before cosmetic dentistry in Alpharetta, GA

Before

after cosmetic dentistry in Alpharetta, GA

After

[12] 6 Porcelain crowns

before cosmetic dentistry in Alpharetta, GA

Before

after cosmetic dentistry in Alpharetta, GA

After

[13] Invisalign and porcelain veneers

before cosmetic dentistry in Alpharetta, GA

Before

after cosmetic dentistry in Alpharetta, GA

After

[14] Porcelain veneers

before cosmetic dentistry in Alpharetta, GA

Before

after cosmetic dentistry in Alpharetta, GA

After

[15] Cosmetic gum lift, 3 porcelain veneers and crown

before cosmetic dentistry in Alpharetta, GA

Before

after cosmetic dentistry in Alpharetta, GA

After

[16] Before and after bonding replacement

before cosmetic dentistry in Alpharetta, GA

Before

after cosmetic dentistry in Alpharetta, GA

After

[17] Replacing old crowns with new ones

before cosmetic dentistry in Alpharetta, GA

Before

after cosmetic dentistry in Alpharetta, GA

After

[18] Closed dark triangle with bonding